いしい歯科ロゴ
いしい歯科
あなたとお子さまの“これから”に寄り添う歯科医院

 

初めての方の予約はこちらから。歯科医師が対応いたします。


 

初めての方で、歯のクリーニングやメンテナンスをご希望の方はこちらから。衛生士が主に対応いたします。

tel 0143−44−3367
住所 北海道室蘭市東町2丁目22−6
問診票ダウンロード

当院の矯正治療について

矯正治療とは?

歯並びや噛み合わせが悪いと、見た目が悪く、自信が持てなかったり、人前で笑うことに引け目を感じてしまうこともあるかもしれません。また、虫歯や歯周病のリスクが高まる、顎関節症や頭痛などの原因になるなどのリスクもあります。歯並びを整え、きれいに並べてあげることで、人前で笑うことに自信がついたり、歯磨きがしやすくなり口腔ケアが容易になります。

矯正治療の流れ

1.矯正相談
現在の歯並びで気になる点を伺います。また、口腔内の状態をチェックし、矯正治療についての概略をご説明します。
 
2.精密検査

  • 口腔内・顔貌の写真撮影、レントゲン撮影、歯の模型を取ります。時間は30分から1時間程度です。

3.治療方針の説明
検査結果に基づいて分析を行い、精密検査の24週間後に治療計画・治療期間、また料金などについてお話します
治療方針の説明時には、治療方法をいくつか提示させていただきます。なぜなら、患者さんはひとりとして同じ口腔内の状態を持つ方はいません。子供の場合には、成長発育の差、歯の放出順序や時期が異なります。大人の場合は、治療歴が矯正治療の方針計画に大きく関わってきます。また、提示した治療方法以外にも、他の方法があるかもしれません。その都度質問していただき、一緒に相談・方針決定していきます。
提示した治療方針には、それぞれメリット・デメリットがあります。治療をお考えになる際に何を治したいのか、何を最優先に考えるかべきなのか、どこまでは我慢できるのかなどを熟慮され、最終的な判断をして頂きます。その際に生じた疑問等は遠慮なくお尋ねください。
治療方針を理解し、納得をしていただいた上で治療開始となります。

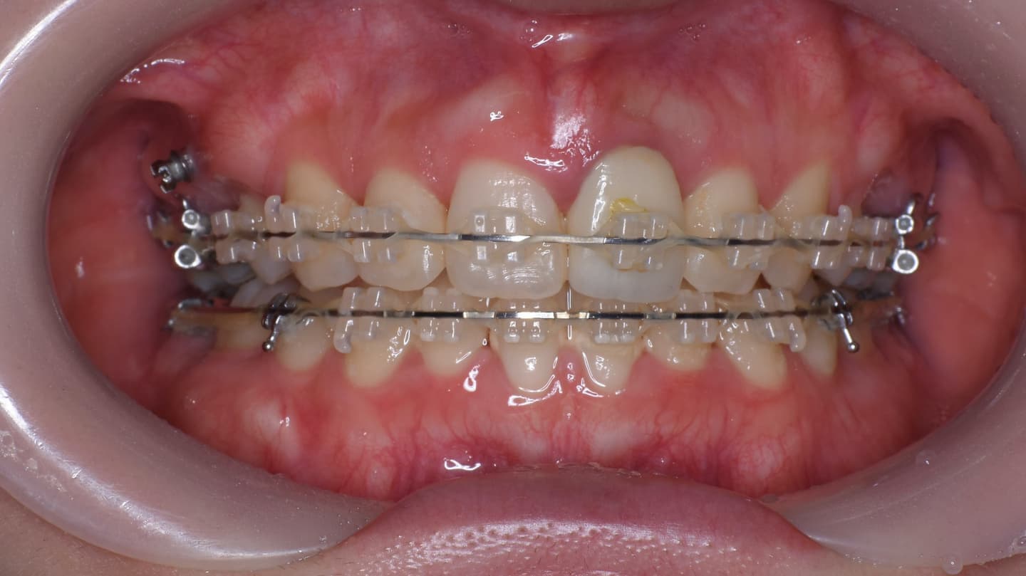
4.矯正治療の開始
装置が口腔内につくまでは週に1回程度、ワイヤーが口腔内に装着されたら、月に1回程度通院していただきます。
症状・年齢や個人差によって異なりますが、治療期間は約2036ヶ月です。
5.保定
矯正装置を外したあとの後戻りを防止する目的で、リテーナー(取り外し式の装置)を使用していただきます。
プレートタイプやマウスピースタイプのものがあります。
2〜6ヶ月に1度の割合での来院が必要です。リテーナーは長い期間入れていれば、それだけ装置を外した時の歯並びを継続できます。

矯正はいつから始めるといいの?

成長期の子供か、大人かで開始時期が異なります。それは、骨の成長があるか、ないかの違いです。身体の発育は、身長が伸び切ったらほとんど終了したと考えてもいいでしょう。

成長が終わる終了する前ならマイオブレースによる予防矯正で解決するかもしれません。いしい歯科では現在もう少し様子を見ましょうをなるべく減らし、お子さんのためにも早期の予防矯正を推奨しています。

小児矯正は顎の骨・筋肉のズレを改善させる治療

乳歯の時期(1~6):反対咬合や噛み合わせが深い、などの症状がある場合は受診してください。今後の顎骨や筋肉の成長に悪影響を及ぼす恐れがある噛み合わせは、早めに治療してあげることで、口腔機能や呼吸機能の成長発育を適切に行えるようになります。
歯の抜け替わりの時期(5~12):小さな子供の歯に代わり、大人の歯が萌出するため、スペースがないとでこぼこしたり、逆に間が空いているように見えたりし、歯並びが気になる時期です。この時期に頭蓋骨(頭の骨と顎の骨)も同様に成長し大きくなります。
前歯と奥歯の噛み合わせを診察し、上下の歯と顎のズレがあれば治療していきます。
歯が全て抜け代わる時期には個人差がありますが、大人の歯が全て生えそろっている場合、大人の矯正治療と同じになります。

大人の矯正は歯周病のリスクの軽減や審美を改善させる治療

骨の成長はありませんので、いつでも開始できます。大人の場合、目標は歯周病や虫歯のリスクの軽減や見た目の改善など目標は様々です。口腔内に治療歴があることが多いので、それによって治療方法が異なることがあります。

 
 
 
歯並びや成長に、不安や疑問がある方は、どうぞご相談ください。
お待ちしております。

 

矯正治療の流れ

治療方針の決定まで

矯正相談

¥0

精密検査

¥30,000

治療方針の説明

¥0

基本料金

小児矯正治療(乳歯が残っている方)

小児矯正Ⅰ期治療

¥300,000

小児矯正Ⅱ期治療

¥300,000

1技巧装置につき

¥0

成人矯正治療(永久歯が生え揃っている方) ¥600,000
 

処置料金 

調整量  ¥4,500
 

その他追加料金

  • セラミックブラケット.     ¥0
  • ホワイトワイヤー.     ¥0
  • 矯正用アンカースクリュー.     ¥15,000
  • 矯正のための抜歯.     ¥10,000(1歯)

当院の治療費について

  • 矯正料は原則として一括でお支払いいただきますが、何回かに分けていただいても結構です
  • 小児矯正治療の場合、第1期を経て第2期の治療に入る時は、その時点の第2期の料金とお支払い
    済みの料金の差額をお支払いいただきます
  • 治療費は原則としてお返しできません。また、料金は改定される場合がありますので、あらかじめ
    ご了承ください

矯正治療の期間と治療回数について

  • 症状・年齢や個人差によって異なりますが、治療期間は約20〜36ヶ月です。
  • 月に1回程度通院していただきます。
  • 矯正装置を外したあとの後戻りを防止する目的で、リテーナー(取り外し式の装置)を使用していただきます。
    2〜6ヶ月に1度の割合での来院が必要です。